Free Virtual Consultation Exam
With Rockaway Beach Orthodontics & Pediatric Dentistry
Start your smile journey with Rockaway Beach Orthodontics and Pediatric Dentistry and learn if you’re a candidate for treatment from your phone. Dr. Grace Chung or Dr. Leah Normatova will virtually assess your smile and let you know if treatment is right for you.
How It Works
First, you'll start by telling us a little about yourself. Then, you'll snap a few pictures of your teeth.
Step 1:
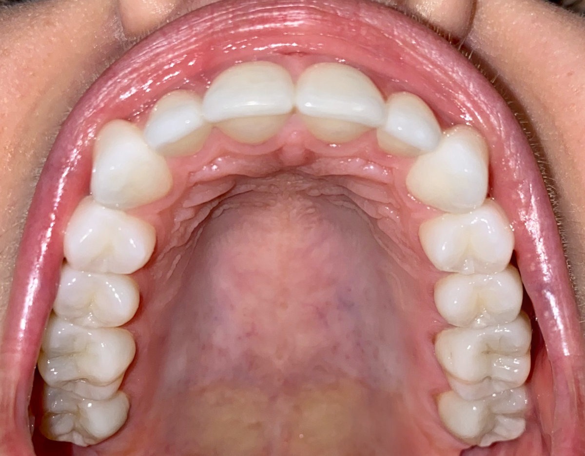
With your smartphone and someone to help you, replicate these eight photos below. The better the picture you send, the more we can see and discuss!








Need help taking photos? Try to make sure that the room is well lit for the best quality photos.
A good way to help retract your cheeks away from your teeth during the photos is for you to hold your cheeks with two spoons, while your friend or family member takes the photos for you.
Step 2:
Fill out the form below.
Step 3:
All done! Dr. Chung or Dr. Normatova will review your photos and get back to you soon with your treatment plan options.
VERY IMPORTANT
When we send you an email, or you send us an email, the information sent is not encrypted. That means a third party may be able to access the information and read it since it is transmitted over the Internet. If you receive an email, someone may be able to access your email account and read it.
- HIPAA stands for the Health Insurance Portability and Accountability Act
- HIPAA was passed by the U.S. government in 1996 in order to establish privacy and security protections for health information
- Information stored on our computers is encrypted.
- Most popular email services (ex. Hotmail®, Gmail®, Yahoo®) do not utilize encrypted email.
- Email is a very popular and convenient way to communicate for a lot of people, so in their latest modification to the HIPAA act, the federal government provided guidance on email and HIPAA.
- The guidelines state that if a patient has been made aware of the risks of unencrypted email, and that same patient provides consent to receive health information via email, then a health entity may send that patient personal medical information via unencrypted email.
- For more information visit https://www.gpo.gov/fdsys/pkg/FR-2013-01-25/pdf/2013-01073.pdf.
By sending a request for virtual consultation with email you are accepting the terms and conditions of utilizing non-encrypted email to communicate health information.
